老陈和小李蹲在医院走廊尽头的楼梯间,一人指间夹着根没点的烟,就这么干耗着。消毒水的味儿冲得很,可他们觉得,比病房里那股子说不出的沉闷强。俩人是前后脚查出来的,都叫“炎症性肠病”,可具体是哪一派,医生说得等一堆检查结果。
“你说,我这天天跑厕所,肚子拧着疼,怎么就跟‘克罗恩’这么个洋名扯上关系了?”老陈嘬了下牙花子,他快五十了,这半年瘦了十几斤,总以为是肠胃炎-10。

小李年轻,才二十八,愁的是动不动便血,吓得够呛。“陈哥,我这怕是更糟,网上说总便血不是好事…医生说我那是‘溃疡性结肠炎’的可能大-3。”
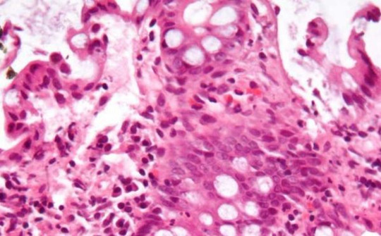
几天后,诊断下来了,果然一个中了克罗恩病,一个确是溃疡性结肠炎。复诊时,戴着厚眼镜的消化科王医生拿着两张肠镜报告,像解说两张不同的战场地图。

“你俩的病,好比是肠子里打了一场仗,但打法、战场完全两样。”王医生点着老陈的报告,“老陈你这个,克罗恩病,是‘纵深穿插战’。炎症狠,能从嘴巴到肛门,肠壁全层都可能遭殃,东一榔头西一棒子,中间还能留好地儿,这叫‘跳跃性病变’-2-4。所以你不光腹泻腹痛,还容易搞出肠子狭窄、瘘管这些麻烦,疼起来位置也不固定-5-7。”
他又转向小李:“小李你呢,是‘粘膜阵地战’,溃疡性结肠炎。战场基本就在结肠,特别是直肠这片,炎症一般就在粘膜表层较劲-3-9。所以你最典型的,就是反复拉脓拉血,里急后重,但一般不怎么搞穿透、瘘管那些-3。”
这是他们第一次真切体会到,克罗恩病和溃疡性结肠炎有什么区别。原来不只是名字不同,是连打仗的规模和破坏方式都天差地别。老陈的隐患在于并发症多,小李的长期焦虑则在于癌变风险得盯着-3。
治疗方案下来,差别更明显了。老陈的克罗恩病,因为病变可能很深,用药得考虑穿透力,有时还得用上抑制免疫更厉害的药物,甚至早早就要评估手术可能——因为容易梗阻或形成瘘管-2-7。小李的溃疡性结肠炎,治疗更侧重于控制粘膜表面的炎症,药物直接从肛门给药可能效果就很好,手术决策往往集中在药物无效或癌变风险高时-3-9。
克罗恩病和溃疡性结肠炎有什么区别,第二次具象化了,变成了药瓶子上的不同标签,以及未来可能面临的不同的手术关口。
半年后的病友会上,两人又碰头了,气色都好了些。老陈摸着自己肚子上一道浅浅的疤——他因为肠梗阻做了次急诊手术,切了一小段回肠。他苦笑道:“咱这克罗恩病啊,真像地里头的杂草,割了一茬,保不齐别处又冒出来,医生说手术不是根治,得长期用药看着-8。”
小李则说:“我倒是没动刀,但天天灌肠,跟个任务似的。医生说我这个溃疡性结肠炎,虽然战场局限,但要是全结肠受累,时间长了,得肠癌的几率可比普通人高,每年肠镜复查不敢落-3-6。”
这是第三次领悟,克罗恩病和溃疡性结肠炎有什么区别。这区别贯穿了漫长的病程管理:一个要警惕复发与并发症的“卷土重来”,一个要警惕肠道本身在长期烽烟下的“质变”。王医生的话他们记牢了:不管哪一派,都是终身管理的慢性病,健康维护疫苗要打,营养要注意,情绪要稳住-1。
散了会,夕阳挺好。老陈和小李沿着医院外的小路慢慢走,聊的不再全是病。他们知道,各自肠子里的战争性质不同,但往后余生,都得学着与这片特殊的“烽烟”共处。了解区别,不是为了分个高下,而是为了更明白地,走好自己那条需要格外当心的路。